O seu acompanhamento médico regular é  essencial: só assim poderá estabelecer com o seu médico um plano  individual e personalizado de consultas e possíveis exames a realizar.
Em  função da presença ou ausência dos diferentes factores de risco, é  necessário fazer exames de rotina para "despiste" dos vários tipos de  cancro: só assim poderá haver detecção precoce do cancro, ou seja, em  fases inicias do seu desenvolvimento aumentando, desta forma, a  probabilidade de sucesso do tratamento.
Alguns tipos de cancro  podem ser detectados antes de começarem a causar problemas. Fazer exames  regulares para "despiste" do cancro, ou de alguma condição que possa  levar a cancro, em pessoas que não apresentam qualquer sinal ou sintoma,  chama-se "rastreio".
Os "rastreios" podem ajudar o seu médico a  encontrar e tratar, precocemente, alguns tipos de cancro. Geralmente, o  tratamento para o cancro é mais eficaz quando a doença é detectada cedo,  ou seja, ainda em fase precoce.
Há alguns tipos de cancro nos  quais os "exames de rastreio" estão indicados: cancro da mama, cancro do  colo do útero, cancro do cólon e do recto. Para estes tipos de cancro,  existem "programas organizados de rastreio", levados a cabo pela Liga Portuguesa Contra o Cancro.
Os exames considerados de "rastreio", nos diferentes tipos de cancro, são:
Cancro da mama
a mamografia é a melhor  forma para detectar o tumor, numa fase ou estadio inicial. A mamografia  é uma radiografia especial da mama. É recomendável que as mulheres, dos  45 aos 69 anos, façam uma mamografia anual, ou de 2 em 2 anos; se tiver  risco aumentado para cancro da mama, deve falar com o seu médico, para  saber qual a frequência com que deverá fazer a mamografia. Algumas  organizações recomendam o início do rastreio a partir dos 40 anos.
Cancro do colo do útero
o teste de Papanicolau, ou  esfregaço do colo do útero ou do cérvix, é usado para observar as  células do colo do útero; depois, estas células são observadas, para  procurar a possível presença de características pré-malignas ou  malignas. O Pap teste deverá ser repetido, pelo menos, uma vez de 3 em 3 anos.
Cancro do cólon e recto
para detectar a  possível presença de pólipos (massas), tumores ou outras alterações no  cólon e no recto, a partir dos 50 anos deverá fazer o rastreio; se tiver  risco aumentado para ter cancro do cólon e recto, fale com o seu  médico, para saber qual a frequência e idade com que deverá fazer os  exames de "rastreio".
1. Sangue oculto nas fezes: por vezes, o tumor ou os pólipos sangram; esta análise permite detectar pequenas quantidades de sangue nas fezes.
2. Sigmoidoscopia: recorrendo a um tubo flexível iluminado e com uma câmara na extremidade, chamado sigmoidoscópio, o seu médico irá observar as paredes interiores do recto e a parte baixa do cólon; este exame permite fazer biópsias. Muitas vezes, os pólipos podem ser removidos através deste tubo.
3. Colonoscopia:  usando um tubo longo, flexível e iluminado, chamado colonoscópio, cuja  luz é transmitida até à ponta distal do aparelho e onde existe  uma câmara, que capta a imagem e envia para um monitor, o seu médico  pode observar internamente o recto e todo o cólon (direito e esquerdo).  Este exame permite fazer biópsias e, regra geral, os pólipos podem ser  removidos através deste tubo.
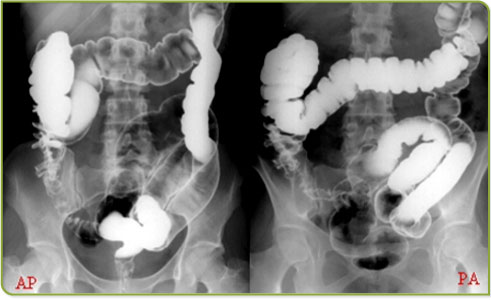
4. Clister opaco de duplo-contraste:  este exame radiológico é efectuado por injecção de uma solução de  bário, através do recto; em seguida, é bombeado ar para dentro do recto  (o bário e o ar melhoram as imagens do cólon e do recto.
5. Toque rectal: regra  geral, o exame rectal é parte integrante de um exame físico de rotina. O  seu médico, depois de calçar umas luvas, insere um dedo lubrificado no  recto: este exame permite detectar se há dor, sangue ou alterações no  ânus (parte distal do recto); no entanto, tem a limitação de só permitir  examinar a parte inferior do recto.
Poderá ter ouvido falar de outros  exames, utilizados para excluir a possibilidade de ter cancro noutras  partes do corpo. Continua a não estar definido se o “rastreio de rotina”  com estes testes é, realmente, eficaz, e se permite salvar vidas.
O  seu médico, antes de sugerir um exame de "rastreio", considera diversos  factores, relacionados com o próprio exame e com o tumor que possa vir a  detectar. É, ainda, dada especial atenção ao risco pessoal para  desenvolver certos tipos de tumores.
Exemplo de factores a considerar:
- idade,
 - história clínica,
 - saúde e bem estar geral,
 - história familiar,
 - e estilo de vida.
 
O seu médico deverá, ainda, ter em conta  a precisão do exame e seus possíveis efeitos nocivos, bem como o risco  dos exames clínicos de seguimento ou da cirurgia que possa ter que  fazer, para verificar se o resultado alterado de um determinado exame  significa, ou não, a presença de cancro.
Deve falar com o seu médico sobre os  possíveis benefícios e riscos de fazer o "rastreio" de qualquer tipo de  cancro. A decisão de fazer o rastreio, bem como outras decisões  médicas, é pessoal.
| Perguntas que pode fazer ao seu médico sobre... o "despiste" | |
1   |  Quais os exames que serão recomendados na minha situação? | 
| 2 | Os exames vão doer ou irei sentir-me "mal"? Existem riscos? | 
| 3 | Quanto custam os exames médicos? Será que o meu seguro médico vai comparticipar os exames de rastreio? | 
| 4 | Quanto tempo depois de fazer os exames terei os resultados? | 
| 5 | Se os resultados não estiverem normais, como é que o meu médico vai saber se eu tenho cancro? | 
Pode, ainda, ser necessário fazer uma biópsia: a biópsia é, na  realidade, o único processo através do qual se podem tirar conclusões,  quanto à existência ou não de cancro.
Como é feito o diagnóstico do cancro?
Como em tudo na vida, é essencial que estejamos atentos ao nosso  corpo, a toda e qualquer alteração que surja sem que, para tal, haja  motivo aparente.
Se tivermos uma atitude proactiva na detecção de  qualquer sinal ou sintoma até aqui “desconhecido” e, imediatamente,  falarmos com o nosso médico estaremos, com certeza, a ajudar na detecção  precoce de qualquer possível problema, mesmo que não seja cancro.
Como  poderá imaginar, é fundamental que o diagnóstico de qualquer tipo de  cancro seja feito o mais precocemente possível: aumenta a hipótese de  cura e pode evitar que o cancro se espalhe – metastize – para outras  partes do corpo. Desta forma, estamos a favorecer o prognóstico da  situação, a recuperação e a reabilitação.
Quando realiza exames  de rotina ou mesmo de “rastreio”, se o resultado sugerir a possibilidade  de ter um tumor, o seu médico terá que verificar e confirmar se é  devido a um cancro ou a qualquer outro motivo. 
Para poder fazer o  “quadro” completo da situação, provavelmente o seu médico irá falar  consigo, fazer algumas perguntas relacionadas com a sua história clínica  pessoal e familiar (para poder equacionar a possível presença de  determinados factores de risco), bem como fazer um exame físico. Poderá,  ainda, pedir-lhe que faça análises, exames imagiológicos (como raio-X,  ecografia, mamografia) ou qualquer outro exame que seja necessário para  esclarecer o diagnóstico.
Deverá levar para a consulta e mostrar  ao seu médico qualquer exame que tenha realizado previamente, mesmo que  lhe pareça irrelevante e não relacionado com a actual situação.
Depois  de avaliar estes exames, o seu médico, de acordo com a situação global,  poderá decidir não fazer quaisquer exames adicionais, nem mesmo  tratamento.
Análises clínicas ou exames laboratoriais
As análises ao sangue, urina e outros fluidos, podem ajudar o seu  médico a fazer o diagnóstico de qualquer situação anormal: permitem  demonstrar como é que um determinado órgão está a desempenhar a sua  função.
No nosso organismo, há determinadas substâncias que, se  nas análises, estiverem aumentadas, podem ser sinal de cancro e são  usadas como marcadores tumorais.
Ainda assim, não podemos ser alarmistas: regra geral, ter resultados laboratoriais anómalos não significa que temos cancro.
Para  fazer o diagnóstico de cancro, não são suficientes os resultados das  análises clínicas. Vão ser necessários outros exames e uma biópsia, para  confirmar se é um cancro, e qual o seu tipo.
Exames imagiológicos
Os exames que recorrem à imagem de determinadas áreas do corpo  são muito úteis, pois ajudam o seu médico a detectar a presença de  inúmeras situações anómalas, incluindo a possível presença de um tumor.
As imagens podem ser obtidas de diversas formas:
Radiografia (raios-X): forma mais frequente de ver os órgãos e os ossos.
TAC (tomografia computorizada):  através de uma máquina de raios-X, ligada a um computador, são obtidas  uma série de imagens detalhadas dos órgãos; para melhor visualização das  imagens, pode ser injectado um contraste (corante). A ligação ao  computador permite uma visualização mais detalhada dos órgãos internos  do nosso corpo.
Estudo com radioisótopos:  neste exame, é injectada uma pequena quantidade de substância  radioactiva, que entra na corrente sanguínea e vai depositar-se nas  áreas de crescimento ósseo anómalo, ou nos órgãos. Através de um scanner, a radioactividade é detectada e medida; o scanner  vai criar a imagem desses ossos e órgãos, num ecrã de computador ou num  filme. O nosso organismo elimina rapidamente a substância radioactiva.
Ecografia (ultra-sons):  meio de diagnóstico que utiliza ondas sonoras de alta frequência, os  ultra-sons, para produzir imagens dos órgãos internos do nosso corpo.
RM (ressonância magnética): através  de um íman forte, ligado a um computador, são criadas imagens  detalhadas de determinadas zonas do corpo. Essas imagens podem, depois,  ser vistas num monitor e/ou impressas em filme.
Estudo por PET (tomografia por emissão de positrões):  neste exame, é injectada uma pequena quantidade de material  radioactivo, cuja "fixação" em determinadas zonas é acompanhada e  visualizável. Depois, uma máquina vai “criar” imagens, que revelam a  actividade química no organismo e os pontos onde houve "fixação" - regra  geral, são zonas onde há elevada actividade celular (ex: células  tumorais).
Biópsia
Quase sempre é necessária uma biópsia, para fazer o diagnóstico de cancro.
Uma  biópsia consiste na colheita de uma amostra de tecido que, depois, é  examinada ao microscópio por um médico especializado - patologista - de  um laboratório.
A amostra pode ser colhida de várias maneiras:
Com agulha: é utilizada uma agulha fina, para recolher tecido ou líquido.
Com endoscópio: é utilizado um endoscópio (tubo fino e iluminado), para observar determinadas zonas do nosso organismo; através deste tubo, o médico pode colher tecidos ou células.
Com cirurgia: a cirurgia pode ser excisional ou incisional.
Biópsia excisional: o cirurgião remove todo o tumor e, por vezes, remove algum tecido normal que circunda o tumor ("margens").
Biópsia incisional: o cirurgião remove apenas uma parte do tumor, para observação e análise.
| Perguntas que pode fazer ao seu médico sobre... a biópsia | |
1   |  Que tipo de biópsia irei fazer? Porquê? | 
| 2 | Onde vou fazer a biópsia? Tenho que ir ao Hospital? | 
| 3 | Quanto tempo vai demorar a biópsia? Estarei acordado? Vai doer? Serei anestesiado? Qual será o tipo de anestesia? | 
| 4 | Há riscos associados a este exame? Quais são as probabilidades de haver infecção ou perda de sangue, depois deste procedimento? | 
| 5 | Quando irei saber os resultados? | 
| 6 | Se eu tiver um cancro, quem irá falar comigo acerca dos próximos passos a seguir? Quando? | 
Ouvir e procurar uma segunda opinião
Depois de diagnosticado um cancro, é normal pensarmos que "isto  não está a acontecer"! É normal negar e não acreditar, tal como é normal  pensar que pode haver outra perspectiva de ver e avaliar a mesma  situação clínica.
Antes de decidir aceitar a proposta de  diagnóstico e/ou tratamento, pode ouvir uma segunda opinião. Hoje em  dia, algumas seguradoras exigem uma segunda opinião, para poderem  comparticipar as despesas, e outras podem cobrir os custos de uma  segunda opinião, se tal for solicitado.
Na maioria dos casos, um  breve atraso não compromete o diagnóstico, tratamento e prognóstico da  situação. Fale com o seu médico para saber quais os tempos razoáveis.
Nos  centros onde se faz oncologia, vários especialistas trabalham em  conjunto, formando uma equipa multidisciplinar, que pode ajudar de uma  forma integrada.





Nenhum comentário:
Postar um comentário