03/05/2015
Em seu autorretrato 'A coluna quebrada', de 1944, a artista mexicana Frida Kahlo expressa sua dor por meio dos pregos espalhados por todo o corpo.
As sobrancelhas, o vermelho das vestes, as flores no cabelo e a experiência de dor são marcas indissociáveis de Frida Kahlo. Seu autorretrato com pregos perfurando todo o corpo, A coluna quebrada, um dos seus quadros mais famosos, é também indício de que a artista mexicana sofria de fibromialgia. Na tentativa de explicar os motivos para a dor crônica que acompanhou a artista durante anos, alguns autores sugerem que Frida sofria de fibromialgia pós-traumática, caracterizada por dor generalizada persistente, fadiga crônica, distúrbios do sono e pontos dolorosos em regiões anatômicas bem definidas. Esse conceito de fibromialgia, tal como entendido atualmente, provavelmente não era disseminado entre os médicos do século 20.
Quando Frida pintou A coluna quebrada, em 1944, a associação de pontos dolorosos com reumatismo já tinha sido citada há pelo menos 120 anos. Em 1824, o cirurgião escocês William Balfour foi o primeiro a descrever pacientes com pontos musculares hipersensíveis à palpação e passíveis de desencadear uma dor irradiada. A fibromialgia não é uma doença nova, como muitos imaginam. Historicamente, ela vem sendo apresentada com diferentes nomes: fibrosite (1904), miofibrosite (1929), síndrome fibrosítica (1952), síndrome fibromiálgica e, por fim, fibromialgia (1981). Com este nome, em 1992, foi reconhecida pela Organização Mundial de Saúde (OMS) como uma doença reumática. Mas, mesmo tanto tempo depois, segue sendo questionada pela sociedade, pelos familiares dos pacientes e mesmo por alguns profissionais de saúde.
ASSOCIAÇÃO
Para os fibromiálgicos, pessoas mais sensíveis à dor que a população em geral, tamanha desconfiança e descrença também dói. A aposentada Sandra Santos, de 53 anos, foi diagnosticada em 2005 e, em uma atitude positiva frente ao sofrimento, fundou a Associação Brasileira dos Fibromiálgicos (Abrafibro) com outros pacientes. Para tratar um problema de coluna, foi encaminhada para um tratamento que não conseguiu levar adiante. “Entrava andando e saía de cadeira de rodas. Insisti até a oitava sessão, mas a médica responsável estranhou meu limiar de dor ser tão pequeno. A especialista que me acompanhava desconfiou que pudesse ser fibromialgia e, no exame clínico, identificou que eu tinha 11 dos 18 pontos de dor. Já tinha fibromialgia, mas, provavelmente, ela estava sendo mascarada pelo problema de coluna”, lembra Sandra.
O reumatologista Luiz Severiano Ribeiro, do Serviço de Reumatologia do Instituto de Previdência dos Servidores do Estado de Minas Gerais (Ipsemg), lembra de um tempo em que os próprios pacientes não acreditavam no diagnóstico, mesmo que ele justificasse a dor, que consideravam “inexplicável”, tamanho era seu incômodo. “Chegavam reclamando de dor e cansaço, mas não levavam a sério o diagnóstico. Primeiro, não entendiam o nome. Além disso, os exames clínicos não apontavam nada e receitávamos antidepressivo. Achavam que fibromialgia era coisa de doido e, quando procuravam outro médico e contavam o que o reumatologista tinha dito, ouviam que precisavam mesmo era de psiquiatra. Essa era a clássica trajetória de um fibromiálgico 20 anos atrás. Pulavam de um médico para outro sem uma explicação e, quando recebiam o diagnóstico, não acreditavam”.
Sensibilidade aumentada
Nos últimos anos, houve um grande avanço na compreensão da fibromialgia, que é considerada uma síndrome por englobar uma série de manifestações clínicas, como dor, fadiga, distúrbio do sono. Segundo Eduardo Paiva, chefe da Comissão de Dor e Fibromialgia da Sociedade Brasileira de Reumatologia, professor assistente da Universidade Federal do Paraná e chefe do Ambulatório de Fibromialgia do Hospital das Clínicas da UFPR, está cada vez mais estabelecido que a fibromialgia é um problema de sensibilização do sistema nervoso, que estaria programado para sentir mais dor. Exames como a ressonância magnética funcional, capazes de mostrar o funcionamento do cérebro em tempo real, revelam a intensidade amplificada da dor, tal como relatada pelos pacientes. “O sistema nervoso pode ser modulado, amplificado. Na fibromialgia essa modulação é para mais. Como se tivéssemos um botão de volume capaz de aumentar a sensibilidade à dor.
As pessoas que sofrem de fibromialgia têm um limiar de dor rebaixado. Estímulos que normalmente não causam dor em outras pessoas, como um carinho, podem ser dolorosos para o fibromiálgico. Segundo Roberto Heymann, reumatologista do Hospital Albert Einstein e professor da Universidade Federal de São Paulo (Unifesp), isso ocorre devido a um desarranjo dos mecanismos que controlam a dor no sistema nervoso central. “As causas desse controle inadequado dos mecanismos da dor são desconhecidas. Acredita-se numa predisposição genética que, quando exposta a alguns fatores ambientais, gere o quadro de fibromialgia. O que sabemos é que os mecanismos do sistema nervoso central associados à sensação e transmissão da dor encontram-se exacerbados e os mecanismos que deveriam inibir ou filtrar essas sensações estão diminuídos, permitindo uma transmissão anormal de estímulos de dor ao cérebro”, explica.
Além disso, há fatores externos que influenciam a transmissão e a sensação de dor. O estado emocional e o frio são alguns deles. A depressão, por exemplo, pode ser uma das consequências da fibriomilgia, como em tantas outras doenças crônicas, mas também o gatilho que faltava para desencadear um quadro de fibromialgia na pessoa geneticamente predisposta. Segundo Heymann, a saúde emocional tem influência direta em todas as doenças, não só na fibromialgia. “Quantas pessoas têm picos de hipertensão porque ficaram nervosos e ansiosos, por exemplo? Mas na fibromialgia, pelo fato da dor ser subjetiva, a influência que a emoção exerce na sua intensidade muitas vezes gera preconceito. O fato é que uma pessoa deprimida efetivamente sente mais dor que a população normal, pois sua sensibilidade dolorosa encontra-se exacerbada. Dessa forma, fica fácil entender que a depressão piora os quadros de fibromialgia”, explica.
Qualquer quadro de dor crônica também prejudica o sono, pois frequentemente o paciente acorda pela dor. Mas na fibromialgia alterações hormonais e de neurotransmissores também são responsáveis pela superficialização do sono e pela sensação de fadiga. A maioria das pessoas que sofre de fibromialgia, portanto, tem um sono superficial e leve em que não descansam, e por consequência ficam fatigados e sem energia. Dor generalizada, dificuldades para dormir ou despertar com cansaço e sensação de cansaço ou fadiga durante todo o dia são os principais sintomas da doença. Aos 84 anos, Maria Joana das Mercês chegou a duvidar de tinha realmente dormido durante a noite, ou se era um sonho. Frequentadora do grupo de educação do paciente fibromiálgico, realizado há mais de 20 anos no Ipsemg, hoje ela sabe lidar melhor com os sintomas, mas eles não deixaram de incomodar. “Durmo e levanto pensando se realmente dormi. E a dor é insuportável. Ninguém merece”, lamenta.
Confira vídeo com o relato de pacientes sobre fibromialgia:
A COLUNA QUEBRADA
No artigo Arte e dor em Frida Kahlo, de 2014, Rodrigo Siqueira Batista e coautores buscam, na biografia e obra da artista mexicana, interseções entre sua arte e experiências de dor. Para os autores, em A coluna quebrada, na qual ela se retrata usando o colete de aço para controle do quadro de dor, os pregos encravados em seu corpo nu traduzem um infindável martírio. “O corpo de Frida está dividido, sangrando, pregado e isolado, transparecendo pois, o suplício físico que nunca a abandonou ao longo da vida.” No filme Frida, de 2003, em um dos diálogos, ela chega a dizer: “Nem lembro como era antes da dor”. A solidão, metaforizada pela paisagem desértica, reforça o sofrimento. O corpo aberto é uma referência às várias cirurgias às quais se submeteu para reparar a coluna, sem melhoria de suas queixas. Já os pregos fincados sugerem os típicos pontos dolorosos da fibromialgia. Para os pesquisadores, essa hipótese explicaria a dor crônica e a fadiga profunda experimentadas pela pintora.
A pintora Frida Kahlo sofria significativas dores, tanto de origem física (orgânicas), quanto de cunho emocional. De fato, uma das maiores tristezas da artista está ligada à relação com seu companheiro, o pintor Diego Rivera, por quem foi profundamente apaixonada. O casal nutria imenso carinho mútuo; entretanto, viviam igualmente em meio a brigas e traições, o que muito entristecia Frida. Uma dessas brigas foi fruto da traição de Diego com a irmã de Frida, Adriana. Frida também padecia muito com o fato de não conseguir engravidar ou de sofrer abortamentos espontâneos quando a gestação ocorria. Um famoso quadro, chamado Henry Ford Hospital (La cama volando), retrata, de forma bastante marcante e forte, um episódio no qual Frida necessitou de internação devido a um abortamento. Em vida não há relatos de que tenha sido diagnosticada com fibromialgia, mesmo porque, na época, não existia a denominação “fibromialgia” (esta é bem posterior, remontando aos anos 1970). Essa hipótese diagnóstica foi levantada após sua morte, sendo sugerido por seu quadro clínico de dor crônica, conforme proposto no artigo Fibromyalgia in Frida Kahlo’s life and art (artigo de Manuel Martinez-Lavín, Mary-Carmen Amigo, Javier Coindreau e Juan Canoso publicado na revista Arthritis & Rheumatism, em março de 2000).
O artigo Art and pain in Frida Kahlo*, fala de uma possível relação dos pregos pelo corpo em A coluna quebrada com os pontos dolorosos da fibromialgia. Esse quadro pode ser considerado uma clara evidência de sua experiência com a fibromialgia? Por que?
O quadro A coluna quebrada – no qual se observam pregos espetados pelo corpo da artista – retrata a relação de Frida com as sequelas – múltiplas fraturas na coluna – do acidente sofrido na juventude, assim como sua relação com a dor. Em relação aos pontos dolorosos da fibromialgia, parece ser uma hipótese plausível, mas certamente não se constitui em uma “clara evidência”, especialmente ao se considerar uma pintora da categoria e intensidade de Frida Kahlo.
Qual a "importância" da dor para a obra da artista latina?
Frida Kahlo pintou muitos autorretratos, por considerar-se bastante conhecedora de si mesma. Presume-se que a artista retratou em suas telas muitos momentos de dor – tanto de origem física, quanto emocional –, os quais fizeram parte de sua existência. Deste modo, é possível conjecturar que Frida, de algum modo, encontro na arte o sentido para a própria dor.
*O artigo de autoria de Rodrigo Siqueira-Batista, Plínio Duarte Mendes, Julia de Oliveira Fonseca e Marina de Souza Maciel foi publicado em 2014, na Revista Dor.
Sem estigmas
Para conviver com a síndrome e manter a qualidade de vida, é essencial que a pessoa acometida por fibromialgia a encare com seriedade e se trate com profissionais conhecedores do assunto
Jorge Luiz Dutra, de 59, foi várias vezes questionado por sentir dores
No dia 12, celebra-se o Dia Mundial da Fibromialgia. A data reforça a luta de pacientes por mais acesso aos tratamentos e, principalmente, por mais visibilidade para a síndrome. Só a conscientização da população pode mudar o panorama de descrença em torno do quadro de dor crônica que marca o problema. O pedreiro aposentado Jorge Luiz Dutra, de 59 anos, tem o diagnóstico desde 2004 e ainda hoje convive com a desconfiança. Morador da zona rural, já está cansado de ouvir que a fibromialgia é só uma desculpa. “Muita gente fala que não tenho nada, que não quero é trabalhar. Eles olham pra mim e dizem que, se estou gordo, estou ótimo de saúde”, conta. Mas é Jorge quem conhece o sofrimento de viver na iminência de sentir dor, sintoma influenciado por questões sociais, culturais, emocionais e religiosas.
Para Roberto Heymann, reumatologista do Hospital Albert Einstein e professor da Universidade Federal de São Paulo (Unifesp), a avaliação da dor é complexa por não existirem medidas precisas de mensuração, como na hipertensão arterial e no diabetes.Assim, a avaliação da dor depende da informação do paciente, do profissional ou familiar. “Se faltam informações adequadas, certamente haverá um erro de avaliação. E é por isso que, frequentemente, observamos familiares, colegas de trabalho ou até profissionais de saúde descrentes com o sofrimento desses pacientes. Isso eleva o grau de padecimento do fibromiálgico, influenciando, inclusive, a evolução do seu quadro clínico. “A falta de conhecimento adequado sobre essa síndrome na sociedade muitas vezes cria preconceitos absurdos. O apoio familiar e da sociedade é imprescindível”, defende.
A dor da fibromialgia pode gerar muito sofrimento, o suficiente para atrapalhar suas atividades diárias e usuais. Mas, apesar de pacientes e entidades lutarem para a possibilidade de licença ou mesmo aposentadoria, o afastamento do trabalho é uma questão complexa, na opinião de Heymann. “Não há dados que comprovem que gere algum benefício, e o afastamento do trabalho geralmente é seguido de piora do quadro”, explica. Para o especialista, na maioria dos casos, é perfeitamente possível conviver com a síndrome e manter a qualidade de vida. Para isso, é essencial que a pessoa acometida por fibromialgia a encare com seriedade e se trate com profissionais preparados e conhecedores do assunto. “O paciente deve encarar o tratamento como o de qualquer outra doença, sem estigmas”, defende.
REAÇÃO
A personal trainer Michele Barreto, de 42, teve o diagnóstico 14 anos atrás. Medicamentos, terapia, mudanças nos hábitos alimentares e atividade física regular permitem que ela conviva com a fibromialgia sem grandes problemas. “Hoje, estou ótima, mas, na época do diagnóstico, teve vez de eu sentar no chão e chorar. Mas tinha duas opções: ou aquilo acabava comigo ou eu reagia. O paciente precisa entender que o quadro melhora quando se adere ao tratamento”, afirma. Ex-atleta de vôlei, Michele estranhava as pessoas contarem os benefícios do relaxamento de uma massagem. “Porque eu gritava de dor, em vez de relaxar. Também tinha parado de dormir e já acordava cansada”, lembra. Foi essa experiência que a levou a um reumatologista, que deu o diagnóstico da fibromialgia.
A personal trainer Michele Barreto, de 42 anos, encarou a fibromialgia e insistiu na atividade física mesmo nos dias de muita dor
Nos tempos de vôlei, Michele tinha lesões que demoravam mais a melhorar. Na época, isso chegou a ser um motivo de desconfiança, porque algumas pessoas imaginavam que ela estivesse fazendo “corpo mole” para jogar. Mas é comum que os fibromiálgicos sejam pacientes com um histórico de dor que antecede o diagnóstico. Segundo Eduardo Paiva, chefe da Comissão de Dor e Fibromialgia da Sociedade Brasileira de Reumatologia, há vários caminhos para se chegar à fibromialgia. “Pode ser, por exemplo, resultado de uma dor localizada mal tratada. Pode, também, começar depois de um trauma físico ou psíquico. Mas o mais comum é ela ser o resultado de uma dor localizada, que vai se cronificando e tomando todo o corpo”, explica o especialista, professor assistente da Universidade Federal do Paraná e chefe do Ambulatório de Fibromialgia do Hospital das Clínicas da UFPR.
E foi exatamente um trauma que funcionou como gatilho para a fibromialgia de Michele. Ela dirigia, quando sofreu um grave acidente de carro, em que duas amigas se machucaram muito. “Fiquei com culpa. No início, achei que as dores nas costas eram consequência do acidente. Cheguei a usar colar cervical por um tempo, mas a dor continuou”, conta. A primeira reação depois da constatação da fibromialgia foi buscar todo tipo de recurso para lidar com a doença: massagens, acupuntura, homeopatia, terapia. Essa última foi essencial para que ela mudasse seu jeito de encarar a doença. “Aprendi que, se somatizasse, iria piorar as coisas.” A atividade física também foi essencial. “Já ouvi muito médico dizer que ela é mais que 50% do tratamento. Às vezes, é tanta dor, que a gente não quer fazer nada. Mas é preciso ter persistência.”
A experiência pessoal com a fibromialgia faz a profissional ser bastante procurada por pessoas que querem aproveitar dos benefícios da atividade física para o controle dos sintomas. “Acho que eles têm confiança de treinar comigo porque sei o que eles sentem na pele. Além disso, a atividade física para fibromiálgicos tem que ser específica e muito bem orientada”, alerta. Para Paulo Paiva, a atividade física pode ser mais eficiente que o medicamento em alguns casos. Se não tratada, a fibromialgia pode levar a uma considerável perda de qualidade de vida. Além de medicações (neuromoduladores e antidepressivos duais são os mais indicados) e atividade física, o tratamento envolve educação do paciente e familiares. A terapia comportamental cognitiva (TCC) também tem mostrado benefícios. Acupuntura e shiatsu também já tiveram benefícios cientificamente comprovados.
Terapias alternativas e complementares
Uma revisão de estudos controlados que avaliaram a efetividade de massagens na abordagem da fibromialgia mostrou que cinco semanas do recurso foram capazes de promover benefícios imediatos, tais como melhoria da dor, ansiedade e depressão. Para a fisioterapeuta Susan Lee King Yuan, mestre em Ciências pela Faculdade de Medicina da Universidade de São Paulo e pesquisadora da área, a massagem terapêutica pode ser um dos possíveis tratamentos complementares e alternativos para fibromialgia.
A liberação miofascial melhora a fadiga, a rigidez e a qualidade de vida, enquanto a massagem do tecido conjuntivo melhora a depressão e, consequentemente, a qualidade de vida. Já a drenagem linfática manual é superior à massagem do tecido conjuntivo em relação à rigidez, depressão e qualidade de vida. O shiatsu melhora o limiar de dor, a fadiga, o sono e a qualidade de vida. “No geral, a maioria dos estilos de massagem terapêutica melhoram a qualidade de vida de pacientes com fibromialgia”, afirma.
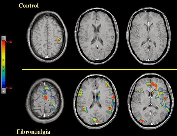
Ressonância magnética funcional permite comparar a atividade cerebral de uma pessoa normal com um paciente com fibromialgia. Ambos foram submetidos a um estímulo de 4Kg de peso capaz de provocar dor
Em teoria, falando de massagem de um modo geral, o alívio da dor pode ser decorrente do aumento da circulação sanguínea, que promove a oxigenação, a remoção de toxinas dos músculos, o relaxamento, a liberação de endorfinas e a analgesia. “Dificilmente, a dor desaparecerá completamente. O mais adequado é utilizar a massagem como complemento a outros recursos terapêuticos em um tratamento multidisciplinar para controlar os sintomas da síndrome”, explica.
Não existe um estudo que determine conclusivamente uma frequência ideal de aplicação de massagem na fibromialgia. Alguns pesquisadores sugerem um tempo de tratamento superior a cinco semanas. Para Susan, as terapias alternativas e complementares (TAC) preconizam a visão holística do paciente e valorizam o vínculo terapeuta-paciente. O importante é que essa massagem respeite o limiar da sensibilidade dolorosa do paciente à palpação. “O uso das TAC como complemento em um tratamento multidisciplinar é o ideal: é especialmente importante que esse tratamento inclua a educação do paciente, alguma técnica psicoterapêutica e o exercício terapêutico, que possui as evidências mais fortes de eficácia no tratamento da fibromialgia.”
EPIDEMIOLOGIA
A prevalência de fibromialgia no mundo varia de 0,7 a 5% considerando a população geral.
No Brasil é provavelmente a segunda doença reumatológica mais frequente, com prevalência em torno de 2,5%
Pode acometer desde crianças a idosos, mas geralmente seus sintomas iniciam-se entre os 25 e 65 anos, com idade média de 49 anos.
Acomete mais mulheres que homens, em uma proporção de 8:1, quando utilizados os critérios do American College of Rheumatology de 1990
ENTREVISTA
Manuel Martinez-Lavín, médico reumatologista e mestre do American College of Rheumatology
A dor da fibromialgia se irradiar pelo corpo seria explicada por esse funcionamento do sistema nervoso autônomo?
Precisamente. Nossa teoria explica o motivo da dor generalizada, já que as fibras nervosas pequenas estão em todo o corpo. Confirmamos que pacientes com fibromialgia têm as fibras nervosas da pele e dos olhos prejudicadas, o que, na medicina, chamamos de neuropatia das fibras pequenas. É preciso entender que a fibromialgia é uma verdadeira neuropatia e produz tanta dor quanto a neuropatia dos diabéticos e dos pacientes com herpes-zóster.
E quais os avanços no entendimento das causas da fibromialgia?
O principal avanço é a explicação de como diferentes tipos de estresse (físico, infeccioso e emocional) podem se converter em uma verdadeira dor neuropática. Temos obtido evidências que sugerem que um estresse constante pode danificar os chamados gânglios da raiz dorsal, centrais nervosas que se localizam ao longo da coluna vertebral. Depois de um traumatismo físico ou infeccioso se estabelecem curto-circuitos entre o sistema nervoso autônomo e as fibras que transmitem dor. As alterações do sistema nervoso autônomo explicam as múltiplas moléstias sofridas pelas pessoas que têm fibromialgia, caso da fadiga, insônia e problemas intestinais.
Em que consiste o tratamento holístico que defende? Por que é mais eficiente?
Primeiro, quero explicar que é um tratamento holístico, porém, baseado nas ciências da complexidade. Há um novo paradigma científico denominado “complexidade”, muito distante do modelo linear e reducionista que vem dominando a medicina atualmente. A complexidade nos obriga a estudar, de uma maneira integral, o funcionamento dos sistemas de adaptação do corpo humano ao meio ambiente. No caso da fibromialgia, o tratamento holístico baseado na ciência demanda, primeiramente, que os pacientes e seus familiares conheçam as rações das múltiplas moléstias da síndrome. Por meio de técnicas de retroalimentação, é possível harmonizar o funcionamento do sistema nervoso autônomo. A alimentação também é importante: deve-se investigar se há intolerância a alguma substância em particular e seguir uma dieta predominantemente vegetariana. Técnicas orientais de exercícios como ioga e tai chi também podem ajudar. Por último, o tratamento envolve o uso criterioso de medicamentos.
Medicamentos como a pregabalina representam um avanço considerável? Há perspectiva de uma nova classe de medicamento?
A pregabalina é um avanço. Trata-se de um medicamento antineuropático, que funciona em certos casos, mas temos que reconhecer que é um medicamento primitivo. Temos demonstrado que certos canais de sódio que se ligam aos gânglios das raízes dorsais podem desempenhar papel primordial na dor da fibromialgia. Estão em vias de desenvolvimento medicamentos muito específicos para bloquear esses canais de sódio. Logo teremos também analgésicos mais eficazes para a fibromialgia, mas sempre será necessário um tratamento integral.
No Brasil, existe a oferta de massagens corporais desenvolvidas exclusivamente para fibromialgia, que prometem acabar com os sintomas. Massagens seriam capazes de mudar o curso da síndrome?
Não estou familiarizado com esse tipo de terapia, mas antes de recomendar qualquer tratamento esse deve ter demonstrado efetividade por meio de estudos científicos controlados. No meu livro, falo de medicina alternativa, de efeito placebo e também de charlatanismo. Uma massagem suave pode ajudar. No entanto, algumas pessoas com fibromialgia sentem dor mesmo com uma pressão suave sobre a pele.






Nenhum comentário:
Postar um comentário